
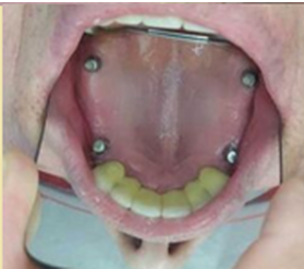
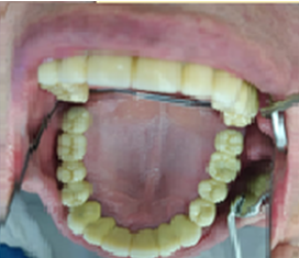
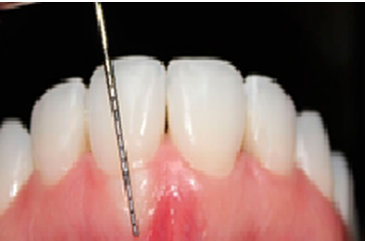
Odontóloga egresada de la Fundación Universitaria San Martín y especialista en Periodoncia y Oseointegración de la Universidad Cooperativa de Colombia, con experiencia clínica profesional de tiempo completo desde 1990, encontrándose en capacidad de diagnosticar, pronosticar y ejecutar tratamientos en todos los niveles de atención en salud oral con especialidad en Periodoncia e Implantología oral.
Equipo de Especialistas
Endodoncia
Ortodoncia
Cirugía oral y maxilofacial
"Hemos confiado nuestra salud oral hace más de 20 años a la Dra. Claudia, a quien admiramos por su conocimiento y dedicación"
Familia Nieto López